Please verify that you are a Healthcare Professional. Register for complete access to all the content!
Maternal dental care during pregnancy protects chi...
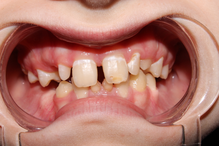
Xiangqun Ju and colleagues evaluated the long-term effectiveness of an early childhood caries (ECC) intervention among Aboriginal Australian chil...
Liquid platelet-rich fibrin as an adjunct to arthr...
This study evaluated the usefulness of liquid platelet-rich fibrin (liquid PRF) in temporomandibular disorders (TMD).
1 min
Comparing analgesic efficacy after tooth extractio...
According to the outcomes of a triple-blind randomized clinical trial from Saudi Arabia, diclofenac potassium offers marginally better control of...
1 min
Biomarkers offer new insights for personalized dia...
A new systematic review revealed that specific biomarkers in blood, saliva, and jaw joint fluid could play a critical role in diagnosing and trea...
1 min
Intraosseous vs. conventional anesthesia in childr...
This scoping review aimed to explore the effectiveness of computer-controlled intraosseous anesthesia (CCIA) compared with conventional local ane...
1 min
Improvement in gum health with adjunctive hyaluron...
This research investigated the impact of applying 0.8% hyaluronic acid (HA) gel alongside open flap debridement (OFD) on clinical outcomes and bi...
1 min
Adjunctive hyaluronic acid boosts glycemic control...
As per the findings of a study by Reem Al-Abbadi et al., topical hyaluronic acid (HA) gel, when used alongside professional mechanical plaque rem...
1 min
Study identifies clobetasol and tacrolimus as most...
In a systematic review spanning over three decades (from 1990 to 2023) of research, pharmacological treatments for desquamative gingivitis (DG)&m...
1 min
Orthodontic benefits of mini-screw and micro-impla...
This umbrella meta-analysis determined whether mini-screws and micro-implants offer superior orthodontic outcomes than conventional anchorage tec...
1 min
Can daily matcha tea help reverse gingivitis?
According to the outcomes of a recent study, incorporating matcha tea into daily routines may serve as a natural, antioxidant-rich strategy to su...
1 min
Comparison of ketorolac vs. alternative analgesics for post-endod...
Ketorolac demonstrates strong early analgesic effects following root canal treatment, reducing the need for additional pain medication.
Local iodine dressing vs. antibiotic therapy after wisdom tooth r...
Iodine-based iodoform gauze dressing after third molar (wisdom tooth) extraction provides postoperative pain and recovery outcomes comparable to...
Artificial intelligence in dentistry: High-accuracy models for ca...
Machine learning–based caries prediction models provide fast, reliable, and standardized risk scores with >95% accuracy.
AI-powered CoTreat tool achieves 100% sensitivity in identifying...
AI-driven CoTreat tool shows 98.3% agreement with dentists and accurately identifies urgent dental cases with 100% sensitivity in public oral hea...
Intramuscular dexamethasone improves early pain control after mol...
Targeted masseter muscle dexamethasone injection improves postoperative pain management in impacted lower third molar surgery.
Emerging evidence supports probiotics as adjunct strategy for car...
Certain probiotic strains may reduce salivary Streptococcus mutans, improve oral microbial balance, and lower dental caries risk.
10-year posterior tooth survival in periodontitis: Premolars show...
Systematic periodontal therapy with supportive care achieves an 89% 10-year survival rate for posterior teeth, with premolars showing higher surv...
Periodontal disease as a modifiable contributor to NAFLD
Chronic periodontitis increases the risk and severity of NAFLD by driving systemic inflammation, gut barrier dysfunction, and oral–gut&ndas...
Assessment of celecoxib vs. loxoprofen for postoperative dental p...
Celecoxib provides pain relief equivalent to loxoprofen after third mandibular molar extraction while delaying the need for a second analgesic do...
Diagnostic accuracy of AI-assisted intraoral photography in detec...
AI-assisted analysis of digital intraoral photographs detects dental caries with high sensitivity and specificity, delivering diagnostic accuracy...
Comparing analgesic efficacy after tooth extraction: Diclofenac v...
Diclofenac potassium achieves superior control of post-extraction pain at 36 hours compared with loxoprofen sodium, with a higher proportion of p...
Clinical safety of continuing DOACs during dental extractions
Continuing DOAC therapy during tooth extraction results in mostly mild, manageable bleeding without increasing postoperative pain or impairing or...
This website uses cookies to help us give you the best experience when you visit.
By using this website you consent to our use of cookies. For more information please review our cookie policy.